Juvelook
쥬베룩
자연스럽게 차오르는 콜라겐으로 피부 속을 채우다
자가 조직 재생 콜라겐 부스터로 손상된 피부와 피부 탄력을 동시에 개선합니다.
Definition
쥬베룩이란?
쥬베룩은 국내 바임글로벌사에서 개발되어 미국 FDA와 한국 식약처
KFDA 승인으로 안정성을 입증받은 콜라겐 부스터입니다.
쥬베룩은 고분자 PLDA와 피부 조직에 존재하는 HA(히알루론산) 성분을
결합시킨 자가 조직 재생 콜라겐 부스터로 피부 주입 후 바로 효과가 나타나는
필러와 달리 자가 콜라겐 생성을 촉진하여 보다 자연스러운 볼륨을
만들어주며 피부 탄력, 잔주름, 피부 결 개선 효과가 있습니다.
피부 자체 회복
콜라겐, 엘라스틴 생성
지속적인 효과
자연스러운 볼륨
자가 콜라겐 재생 촉진
안전성
육아종 발현 확률 낮음
Effect
원형구조와 망상구조로 오래 지속되는 효과
둥글게 생긴 다공성과 그물 형태의 망상 구조 입자가 콜라겐 재생 효과를 비교적 오래 유지하며 결절이 잘 생기지 않고
균일한 미세한 입자 모양은 체외로 모두 배출되어 체내에 잔존물이 남지 않아 보다 안전합니다.
다공성 원형 구조
망상구조
쥬베룩 입자
Features and Safety
쥬베룩의 특징과 안전성
쥬베룩은 직접적으로 콜라겐과 엘라스틴, 줄기세포 등 자가 생성을 통해 노화의 치료적 개념으로 사용이 가능하며
쥬베룩 주입 후 육아종 발현 확률이 낮아 보다 안전한 시술로 인정받고 있습니다.
Differences of pH-Values
Weeks post implantation
Tissue reaction to pure PDLLA.
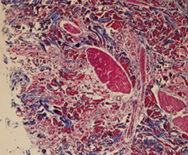
Results of histolgical examinationa
쥬베룩 주입 후 6개월 뒤
Masson trichrome 염색
Process
쥬베룩 시술과정
주사기를 통해 시술이 필요한 진피와
지방조직 사이에 쥬베룩을 주입합니다.
PCL 성분이 피부 깊숙이 침투하여
콜라겐, 엘라스틴 등 생성을 촉진합니다.
시술 이후 약 6주 이후부터 피부의
볼륨이 증가되는 효과를 볼 수 있습니다.
Check List
지금 나에게 쥬베룩이 필요한지 체크해 보세요.
Check Point 01
보다 자연스러운 안티에이징 시술을 찾고 있다.
Check Point 02
잔주름과 피부 탄력을 동시에 개선하고 싶다.
Check Point 03
시술 효과가 오래 지속되었으면 좋겠다.
Check Point 04
비교적 안전한 콜라겐 재생 주사를 찾고 있다.
Check Point 05
짙어지는 얼굴 잔주름 때문에 스트레스 받는다.
Check Point 06
넓은 모공과 여드름 흉터가 고민이다.
당신의 피부 주치의, 이제는 전문가에게 맡기세요!
율하수안피부과
피부과 전문의 1:1 맞춤 진료
오리지널 정품 장비 및 레이저
10년 이상의 풍부한 경력과 실력
Key Doctor
각종 레이저 자문의 및 키닥터
율하수안피부과는 다양한 레이저 장비 자문의 및 키닥터로
활동하는 피부과 전문의가 직접 시술합니다.









